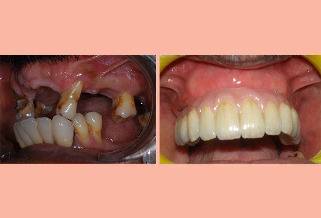
Full Mouth Rehabilitation

The objective of full mouth rehabilitation is not only the reconstruction and restoration of the dentition, but also maintenance of the health of the entire oral cavity.