
info@mosesdental.com
+91 473 422 7778 / Mob: +91 944 709 7676
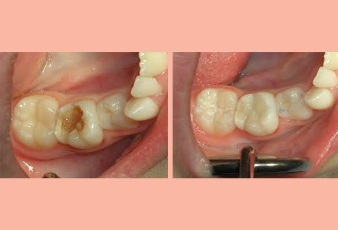
Caries is the most common pathological lesion found in children. Restorative dentistry is the prevention and treatment of diseases of the teeth in order to maintain the vitality of sound teeth with restoration