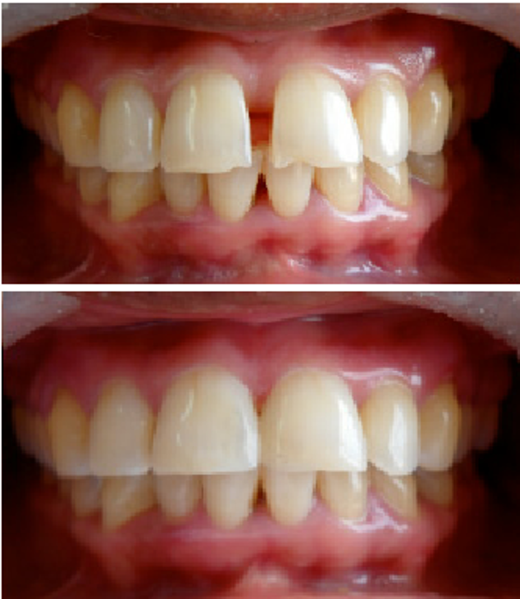
Laminates

They are wafer-thin, custom made shells of tooth coloured materials designed to cover the front surface of the teeth to improve your appearance. These shells are bonded to the front of the teeth changing their shape, size, colour or length.